La ciática conocida también como neuritis ciática o lumbociatica, es un conjunto de síntomas entre los cuales destaca el dolor en el territorio del recorrido del nervio ciático, que puede estar acompañado de alteraciones en la función neurológica local.
La tosferina, también denominada tos convulsa o convulsiva es una infección respiratoria alta, muy contagiosa y es más perjudicial para los bebés. Los síntomas se manifiestan como un resfriado común y pueden comenzar a los pocos días o varias semanas después de la exposición.
En abril del año 2016 el Hospital del Niño Dr. José Renán Esquivel decidió dar un...
La Organización Mundial de la Salud (OMS) ha sugerido que el cannabis debería ser...
Con estudios moleculares, un grupo de científicos mexicanos lograron eliminar el...
La tiroides es una glándula con forma de mariposa que se encuentra en la base del...
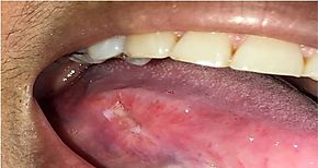
El cáncer bucal es una úlcera que no cicatriza, da molestias ligeras y se manifiesta...
Poner fin a los diferentes tipos de Cáncer es un reto que se ha fijado la comunidad...
Un estudio de la Universidad de Alcalá de Henares ha analizado la evidencia en torno...
El número de tumores asociados al tabaco se duplica en casi 20 años imprimir este...

La salud es un estado de completo bienestar físico, mental y social, no solamente la ausencia de enfermedad o dolencia, según la definición presentada por la Organización Mundial de la Salud (OMS) en su constitución aprobada en 1948.
Este concepto se amplía a: "La salud es un estado de completo bienestar físico, mental y social, y no solamente la ausencia de afecciones o enfermedades." En la salud, como en la enfermedad, existen diversos grados de afectación y no debería ser tratada como una variable dicotómica.
Así, se reformularía de la siguiente manera: "La salud es un estado de bienestar físico, mental y social, con capacidad de funcionamiento, y no sólo la ausencia de afecciones o enfermedades”. También puede definirse como el nivel de eficacia funcional o metabólica de un organismo tanto a nivel micro (celular) como a nivel macro (social). En 1992 un investigador amplió la definición de la OMS, al agregar: "y en armonía con el medio ambiente".
Por ello desde Panama On queremos crear este espacio de divulgación cinetífica y que sirva para estar informados con los avances y estudios que se producen a nivel mundial.